Bioassays
Diverse physiological and endocrinological bioassays, radioimmunoassays
Animal handling and sampling
Housing and handling of vertebrates and invertebrate species
Sampling of blood/hemolymph and multiple tissues
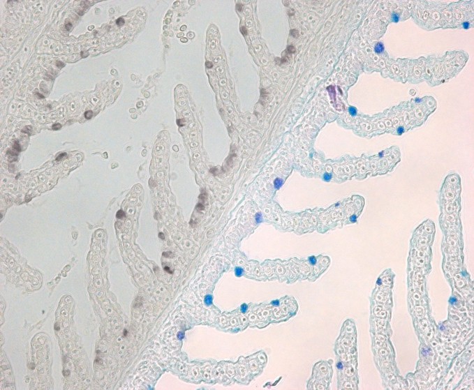
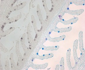
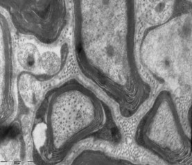
Microscopy
Histology, optic and electronic microscopy
Behavior analyzes
Use of the Ethovision (Noldus) software to quantify behavioral changes in different setups (novel environment, black and white tank,…)








